
Is galar craicinn ainsealach é psoriasis arb é is sainairíonna é cúrsa tonn-mhaith. An chuid is mó go minic, manifests psoriasis féin mar lot craicinn ar leith, is féidir a bheith suite ar aon limistéar an craiceann.
Ní féidir psoriasis tosaigh a aithint láithreach i gcónaí. Mar sin féin, tá sé seo indéanta má thugann tú aird ar na hairíonna tréithiúla go tráthúil. Má théann tú i gcomhairle le dermatologist in am, is féidir forbairt an ghríos a mhoilliú agus a stopadh. Dá bhrí sin, tá sé tábhachtach go mbeadh a fhios cad iad na comharthaí a léiríonn láithreacht na paiteolaíochta.
Cúiseanna psoriasis. Céim tosaigh
Níl aon fíricí iontaofa ar an ábhar seo. Ní galar a thuigtear go hiomlán é psoriasis. Mar sin féin, tá fachtóirí aitheanta ann a d'fhéadfadh cur lena tharlú:
- réamhshuíomh géiniteach (i measc na bhfachtóirí is coitianta);
- mífheidhmiú an chórais imdhíonachta (is minic a spreagann psoriasis freisin);
- fadhbanna inchríneacha;
- ionfhabhtú streptococcal le déanaí (scornach tinn)
- láithreacht galair ainsealacha (go háirithe athlastach);
- droch-nósanna ar nós andúile in alcól agus toitíní;
- strus go minic.
Is féidir psoriasis a fháil i ndaoine d’aon inscne agus aois. Mar sin féin, níos minice tá daoine os cionn 25-30 bliain d'aois so-ghabhálach dó.
Comharthaí na céime tosaigh
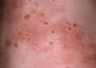
Le psoriasis ag an gcéim tosaigh, tá na hairíonna éadrom. Mar sin féin, is féidir leat iad a thabhairt faoi deara.
Chun tuiscint a fháil ar conas a thosaíonn psoriasis, ba chóir duit aird a thabhairt ar na hairíonna tipiciúla seo a leanas:
- Triomacht mhéadaithe agus scealpadh an chraiceann. Mothaíonn duine míchompord craicinn sna uilleoga, sna glúine, sa chúl níos ísle agus sa scalp. Mar sin féin, féadfaidh na réimsí seo a bheith éagsúil ó chás go cás.
- Láithreacht gríos ar leith. Go tipiciúil le haghaidh psoriasis tá papules beaga bándearg-dearg (eilimintí gríos cothrom, beagán ardaithe os cionn leibhéal an chraiceann) le teorainneacha soiléire, ag cumasc de réir a chéile lena chéile.
- Scálaí ar dhromchla an gríos. Tá dath airgid nó geal orthu. Déantar iad a bhaint go héasca ó ghríosanna, ach is féidir scoilteanna a fhoirmiú nó braiteanna suibiachtúla míthaitneamhacha a bheith mar thoradh air seo.
I roinnt cineálacha psoriasis (“pustular”), ní fhéadfaidh an gríos a bheith i bhfoirm spotaí, ach i bhfoirm foirmíochtaí dronnach beaga le hábhar purulentach taobh istigh. Sa ghrianghraf den fhoirm tosaigh psoriasis is féidir leat a fheiceáil conas a léiríonn cineálacha éagsúla psoriasis iad féin agus a n-airíonna.
Le psoriasis ingne, cuireann an gríos isteach ar an pláta go príomha. Sa chás seo, is iad seo a leanas na comharthaí tosaigh:
- foirmiú logáin bheaga ar na tairní (an symptom "thimble")
- athruithe i struchtúr an pláta ingne - thickens an ingne agus éiríonn brittle
- athrú ar dhath an phláta ingne - féadfaidh an ingne tint buí a fháil, tá spotaí oráiste-dearg le feiceáil faoin ingne
- ramhrú an craiceann faoin ingne;
- looseness an pláta agus a feannadh (ní i gcónaí);
- línte beaga dorcha fadaimseartha faoin pláta ingne (symptom nonspecific, mar thoradh ar hemorrhage faoin pláta ingne)
- deargadh an poll ingne.
Cabhróidh grianghraif de na hairíonna a bhaineann le céim tosaigh psoriasis leat nascleanúint níos fearr.
Tá na chéad chomharthaí doiléir go leor agus ní léiríonn siad iad féin go soiléir. Ina theannta sin, tá siad cosúil leis na hairíonna de roinnt galair dermatological eile, is féidir go dtiocfadh deacrachtaí diagnóis. Ar an ábhar seo, tá sé thar a bheith tábhachtach coinne a dhéanamh láithreach san ospidéal - le haghaidh diagnóis níos cruinne.
Gach céim de psoriasis
Tá trí phríomhchéim i bhforbairt an ghalair:
- Céim tosaigh nó céim fhorásach. Tá go leor papules beaga le feiceáil ar an gcraiceann. Gné shainiúil den chéim seo den ghalar is ea an chuma ar rashes i réimsí a bhfuil tráma craiceann le déanaí; tá an chuma ar psoriasis sna céimeanna tosaigh le feiceáil sa ghrianghraf.
- Stáiseanóireacht. Éiríonn na gríosanna níos mó agus tosaíonn siad ag cumasc lena chéile, ag cruthú plaiceanna móra le imlínte doiléire. Ní fheictear aon eilimintí nua den ghríos, ach cruthaíonn líon mór scálaí ar dhromchla an ghríosa.
- Deiridh. Tosaíonn an gríos ag laghdú agus de réir a chéile imíonn sé léi féin. Féadfaidh sé pigmentation beag a fhágáil taobh thiar de, a imeoidh leis féin le himeacht ama, nó limistéar dath níos éadroime i gcomparáid leis an gcraiceann sláintiúil máguaird.

Is minic a eascraíonn an cheist - "an ndéanann psoriasis cosnochta sna céimeanna tosaigh agus deiridh"? Maidir le psoriasis, is symptom neamhthréithiúil é an itching; b'fhéidir nach bhfuil sé ann.
Le gach géarú, téann an galar trí na trí chéim in ord. Mar sin féin, má chuirtear tús le cóireáil ag tús na chéad chéime, is féidir dul chun cinn na gríos a chosc.
Don chuid is mó daoine, tá na hairíonna timthriallach. De ghnáth le linn an chéad ráig eile maireann siad ar feadh roinnt seachtainí, agus ansin lagaíonn siad agus imíonn siad de réir a chéile. Cinneann foirm psoriasis incipient conas a fhéachann grianghraif agus comharthaí fíor
Cóireáil an chéad chéim de psoriasis
Nuair a bhraitheann tú na chéad chomharthaí amhrasacha, ní mór duit dul i dteagmháil le dermatologist.
Éilíonn psoriasis luathchéime cóireáil íosta le cógais. Seachtrach go príomha.
Úsáidtear go hiondúil:
- Ointments neamh-hormónacha agus uachtair. Tá siad mar bhunús teiripe, ós rud é gur féidir iad a úsáid ag aon chéim den ghalar, lena n-áirítear le linn loghadh. Gníomhaíonn siad go réidh agus is minic nach mbíonn aon fo-iarmhairtí acu. Maolaíonn siad feannadh, deargadh, braiteachtaí suibiachtúla agus mallaíonn siad próisis athlastacha.
- Ointments hormónacha agus uachtair. Ag céim tosaigh an ghalair, úsáidtear iad, mar riail, le haghaidh athlasadh dian nó le cineál speisialta psoriasis (exudative). Is féidir leis na drugaí seo dul i ngleic go tapa le athlasadh sa limistéar craiceann difear. Mar sin féin, níl ointments hormónacha agus uachtair oiriúnach le húsáid leanúnach mar is féidir leo fo-iarsmaí a chur faoi deara le húsáid fhada. Is fearr a léireoidh grianghraif cé chomh mór agus a thosaíonn psoriasis - i ndaoine fásta agus i leanaí araon.
- Glóthacha agus uachtair moisturizing. Soothe agus laghdaíonn an craiceann. Is féidir é a úsáid mar chúram breise.
- Coimpléisc vitimíní. Beart breise chun tacú le neart an chomhlachta agus frithsheasmhacht in aghaidh galair. Ar an gcéad dul síos, úsáidtear vitimín A le haghaidh psoriasis, ós rud é go gcuireann sé isteach ar rannán ceallacha na gcealla craiceann agus ar an bpróiseas foirmiú scálaí. I gcéim fhorásach an ghalair, ní fhorordaítear coimpléisc multivitamin, mar riail.
- Nósanna imeachta fisiteiripeacha. Go háirithe éifeachtach sna céimeanna tosaigh. Forordaítear phototherapy (UVB nó PUVA), chomh maith le nochtadh excimer do ghhathanna UV agus léasair.
I bhformhór na gcásanna, forordaíonn dochtúir cógais. Is féidir roinnt drugaí a úsáid i dteannta a chéile. Má tá comharthaí an ghalair éadrom, is féidir leat a dhéanamh gan cógais ó bhéal agus úsáid a bhaint as foirmlithe neamh-hormónacha seachtracha amháin.
Cosc ar an gcéim tosaigh de psoriasis
Cuidíonn bearta coisctheacha le moill a chur ar léiriú an ghalair agus mar sin fadaíonn sé an tréimhse loghadh. Má leanann tú na rialacha coiscthe go díreach le linn ionsaí, cabhróidh siad le hairíonna a laghdú agus le hathshlánú a luathú.
Is iad na príomhbhearta coisctheacha:
- Deireadh a chur le strus. Nó a íoslaghdú. Cuireann strus isteach go mór ar fheidhmiú an néarchórais, rud a chuireann isteach go mór ar riocht ginearálta an chomhlachta. Chun dul i ngleic níos fearr le do ghiúmar mhothúchánach, is féidir leat clárú le cúrsa síciteiripe. Is féidir le ranganna a bheith aonair nó grúpa.
- Aiste bia. Ba chóir go mbeadh an aiste bia sláintiúil, cothrom agus go mbeadh bianna hypoallergenic ann. Is é bunús an roghchláir ná próitéiní, glasraí amha agus táirgí bainne coipthe. Ba cheart duit dramhbhianna cosúil le milseáin agus earraí bácáilte a sheachaint. Ní chuirtear fáilte freisin roimh bhianna friochta agus deataithe, bianna spicy agus ró-saillte, agus bianna stánaithe. Ar an Idirlíon is féidir leat grianghraif de psoriasis a fháil ag tús an ghalair agus tar éis aiste bia a bhunú.
- Ól neart sreabhán. De ghnáth moltar 1.5-2 lítear uisce íonaithe a ól in aghaidh an lae. Mar sin féin, tá sé tábhachtach díriú ar do mhothúcháin agus gan na moltaí a leanúint go dall.
- Coimpléisc vitimíní. Tá sé inmholta vitimíní a fhorordú ag dochtúir - tar éis tástálacha.
- Mód. Ba chóir go mbeadh ithe, dúiseacht agus dul a chodladh de réir sceidil. Déanann sé seo níos éasca don chomhlacht gníomhaíocht cheart a choinneáil. Tá sé inmholta éirí suas agus dul a chodladh go luath.
- Aer úr. Tá sé tábhachtach siúlóidí a dhéanamh san aer úr gach lá. Laghdaíonn sé strus agus tá sé tairbheach go ginearálta don chomhlacht.
- Cúram craicinn. Is fiú uachtair emollient agus moisturizing a úsáid go rialta. Go háirithe tar éis cóireálacha uisce.
- Éadaí agus bróga compordacha. Déanta as ábhair bhog nádúrtha. Caithfidh bróga a bheith oiriúnach i gceart agus caithfidh éadaí a bheith scaoilte.
- Comhairliúcháin rialta le dochtúir. Agus scrúduithe. Cabhróidh sé seo leat monatóireacht a dhéanamh ar riocht do chorp agus méadú ar an dóchúlacht go gcuirfear cosc ar psoriasis.
Mar sin, léiríonn grianghraif de na hairíonna de psoriasis craiceann sna céimeanna tosaigh agus ina dhiaidh sin go soiléir núis an ghalair seo. Dá bhrí sin, is fiú aire a thabhairt do chosc.
Tá sé tábhachtach a mheabhrú go bhfuil psoriasis manifests féin mar thoradh ar strus dian i bhformhór mór na gcásanna. Dá bhrí sin, ar an gcéad dul síos, tá sé tábhachtach aire a thabhairt do staid chomhchuí intinne agus gnáthamh laethúil.

















